Services
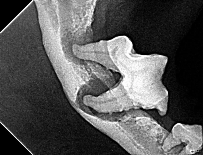
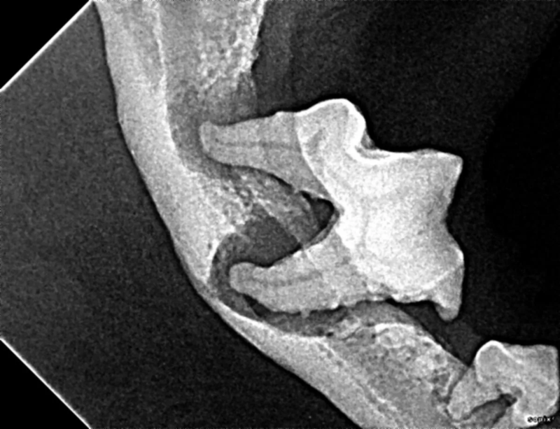
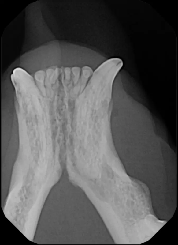
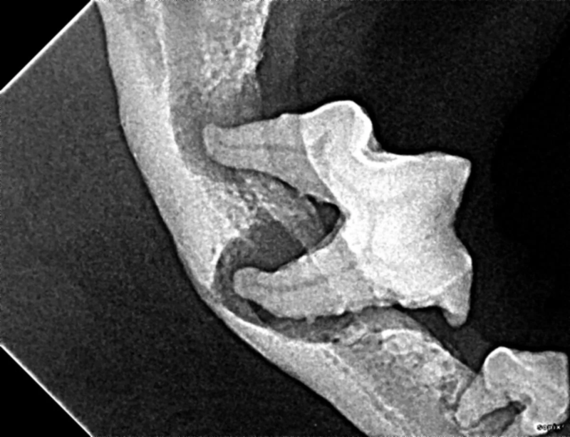
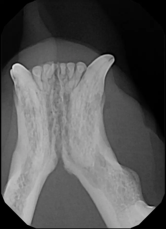
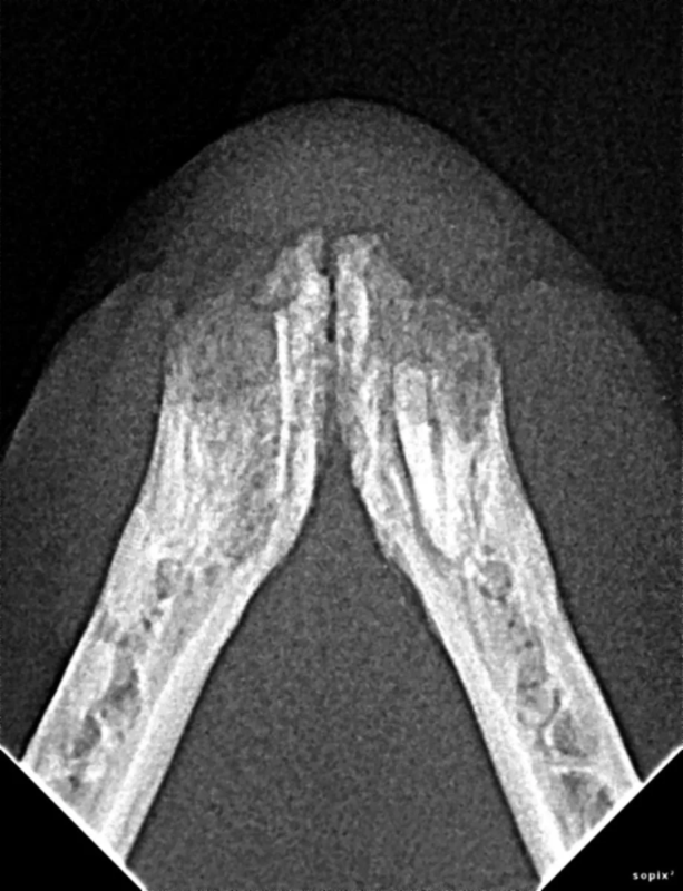
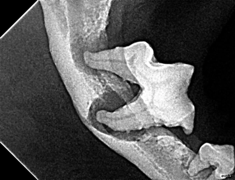
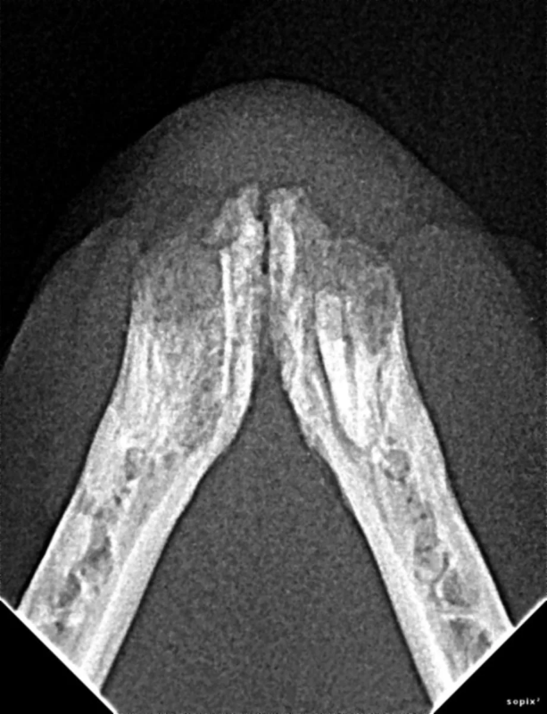
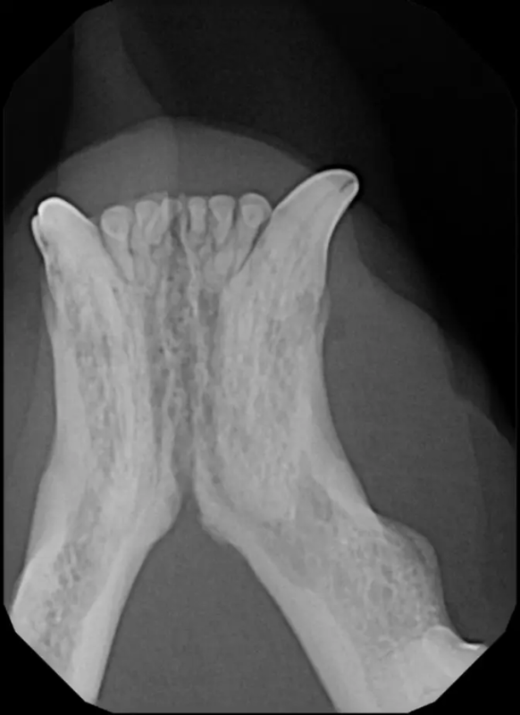
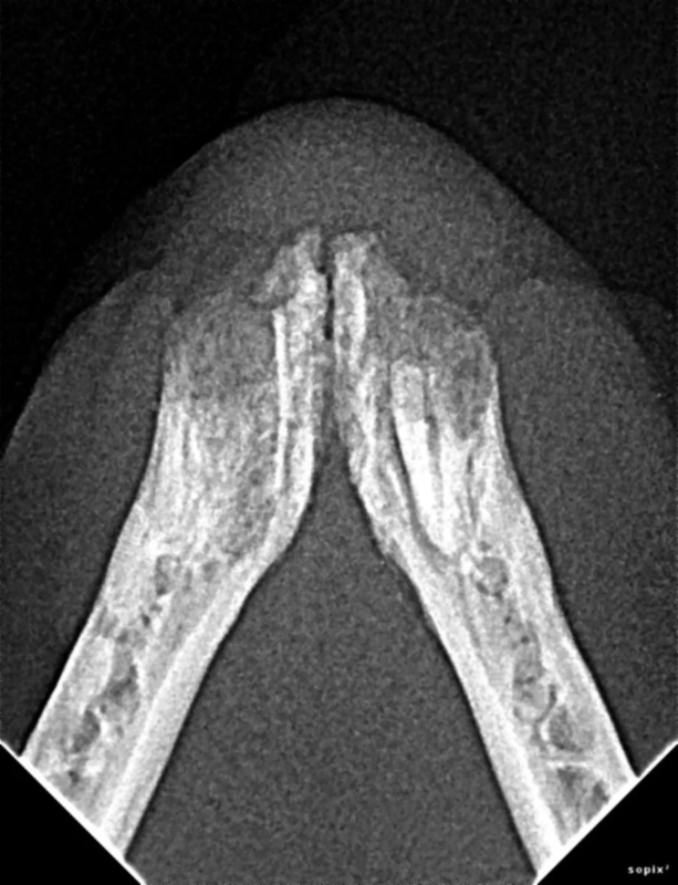
Cone Beam Computed Tomography
The Center now provides advanced imaging via cone beam CT. Cone beam CT is excellent for visualization of bony structures of the skull, nasal cavity, teeth, and ears. Cone beam CT is especially helpful for diagnosing dental disease and evaluation of jaw fractures. It can also be useful for evaluating the sinuses and tympanic bulla. Cone beam CT can be used in conjunction with nasal biopsy and culture to evaluate nasal discharge whether chronic or acute.
Root Canal Therapy
Root canal therapy is an excellent option for saving important teeth that have been fractured or are determined to be non-vital. The procedure is performed exactly as it would be for a human, except your pet will be dreaming peacefully under anesthesia. In many cases, root canal therapy is much easier on your pet than extraction, and preserves the structure of the tooth. It is important to have the root canal x-rayed periodically to monitor for any problems.
Restorations for Caries and Enamel Defects
Pets can get cavities too! Although cavities do not occur as frequently in animals as in humans, it is important to treat these problems before they can progress to more serious problems such as infection or tooth loss. Cavity restoration is performed just as it would be in people. Additionally, some pets are born with abnormalities or defects in the tooth enamel. These defects can be restored to provide a more normal tooth structure.
Crowns
Crowns are placed on fractured teeth to provide the strength to the tooth structure. This is often performed on working dogs or pets who need their teeth for specific activities. The crowns are made of non-precious metal and require one episode of anesthesia to prepare the tooth and create the molds for crown fabrication, and a second anesthetic episode to fit and cement the crowns.
Tooth Resorption
Tooth resorption is a disease process where the body begins to break down the adult tooth. It is widely known to occur in cats but can also occur in dogs. In cats these lesions are thought to be inflammatory, while in dogs they can be more of a replacement resorption process. These lesions can be very painful and should be treated, generally with extraction depending on the type of resorption that is occurring. The disease can be progressive and affect many teeth over several years. It is important to have regular checkups and yearly dental cleanings to monitor for these lesions.
Vital Pulp Therapy
Young dogs less than 1 year of age that have very recently (less than 48 hours) fractured a tooth may be a candidate for vital pulp therapy. This procedure keeps the tooth alive and is very minimally invasive. For best results, this procedure should be performed within 48 hours of the tooth fracture. If your pet is not a candidate for this procedure, root canal therapy can still be performed to preserve the structure and function of the tooth. Vital pulp therapy can also be used to treat malocclusions.
Tumors of the Maxilla, Mandible and Facial Area
Oral tumors are very common in dogs and cats. Many of these tumors can be successfully removed with surgery. Benign tumors can be cured with surgery alone, and malignant tumors can be treated with surgery and some combination of radiation or chemotherapy. In many cases oral tumors cause a great degree of discomfort or are bleeding and need to be removed to allow your pet to be more comfortable.
Surgical Extraction of Diseased Teeth
Periodontal disease is extremely common in dogs and cats. Over 80% of dogs and cats over two years of age have some degree of periodontal disease. Periodontal disease is best prevented by yearly professional dental cleanings starting at two years of age and at home brushing at least three times weekly. Brushing should begin at a very early age to allow your new pet to get used to regular brushing. In severe cases of infection or periodontal disease, the teeth may need to be surgically extracted. Extractions should always involve x-rays of the tooth first, as many teeth have multiple roots or may be diseased below where the eye can see. Extracting larger teeth in animals requires oral surgery, equivalent to removing wisdom teeth in people. It is vital that all of the tooth and roots be removed for the periodontal infection to resolve. In cases of important teeth with mild to moderate periodontal disease, multiple periodontal treatments can be offered to help save these teeth.
Repair of Maxillofacial Fracture
Pets can be involved in trauma that can cause fractures to their head, teeth, and jaw bones. Correctly repairing these fractures is extremely important for your pet to have normal function of their mouth. If a jaw fracture is allowed to heal in an abnormal position, your pet may have great difficulty chewing and can be in significant pain. Many fractures can be successfully treated with minimally invasive oral procedures, but more complicated cases may require bone plating techniques. The Center offers cone beam CT imaging which provides extremely detailed images of the bones of the head and skull. Advanced imaging with CBCT facilitates selection of the best surgical technique to get your pet back to eating and comfort as soon as possible.
Congenital or Acquired Palate Defects
Some animals are born with a defect in their mouth called a cleft palate. These animals may have chronic upper respiratory infections and nasal discharge. They are also at risk for developing aspiration pneumonia. While repair of some of these defects may be difficult, there are multiple techniques available for repairing or reducing the size of the defects. We also repair acquired defects that resulted from the loss of teeth, trauma, or failure to heal after oral surgery.
Therapy for Oral Inflammation
Dogs and cats can sometimes have severe inflammation of the mouth and gingivitis. It is not always known what the exact cause of this painful condition is, but it can be successfully managed. In cases of severe inflammation, some or all of the teeth may need to be surgically extracted. This often greatly improves the pain and inflammation in the mouth in over 80% of patients. In severe cases that do not respond to full mouth extractions, medical management can help reduce or resolve the inflammation and pain.
Challenging Extractions
Sometimes teeth can be quite a challenge to remove. We routinely perform difficult extractions due to abnormally formed teeth, impacted teeth, extractions from weakened bone, and retained roots, Sometimes during a routine extraction a root can get pushed into the mandibular canal or the nasal cavity, and if that happens, we are here to get it out!
Surgical Management of Diseases of the Head and Neck
In addition to dentistry and oral surgery procedures we also offer advanced surgical procedures for diseases of the head and neck. With Dr. Kendall Taney’s advanced training in oral and maxillofacial surgery, we are able to provide treatments for a variety of diseases such as chronic ear infections, tumors of the head and neck, and nasal/sinus issues.
